Protesi dentali a Prato: soluzioni fisse e mobili per ritrovare il tuo sorriso
Scopri di più
Riabilitare il sorriso con comfort, stabilità ed estetica
La mancanza di uno o più denti può influenzare la vita quotidiana, dalla masticazione al modo in cui sorridiamo o parliamo. Nel nostro Studio Odontoiatrico a Prato realizziamo protesi dentali fisse e mobili studiate su misura per ripristinare funzione, estetica e sicurezza, con materiali di alta qualità e tecniche moderne.
Ogni protesi è progettata in base alla situazione clinica e alle esigenze della persona, con l’obiettivo di garantire stabilità, durata e un risultato naturale.
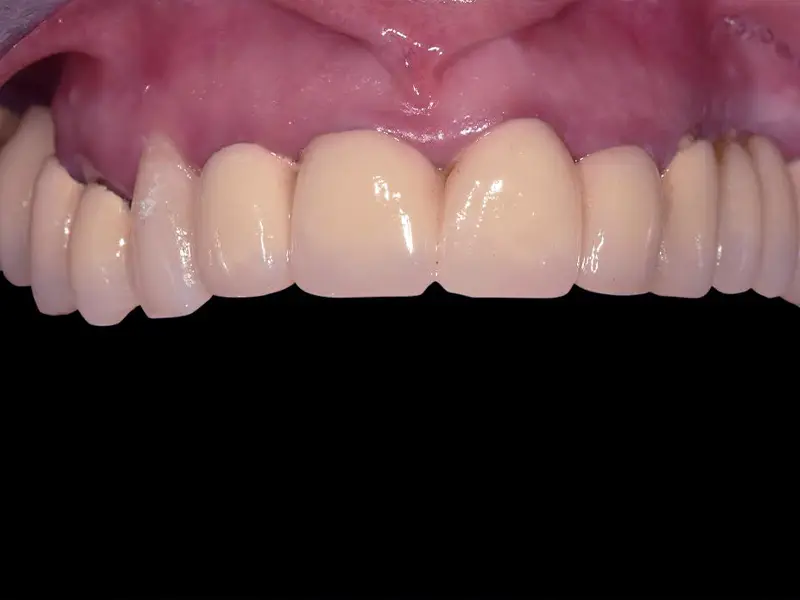
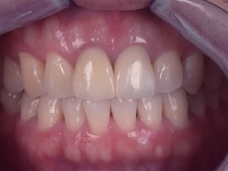
Protesi fissa: una soluzione stabile e duratura
Le protesi fisse vengono cementate o avvitate in modo permanente, e offrono un’ottima resa funzionale ed estetica, senza necessità di rimozione.
Le principali soluzioni proposte:
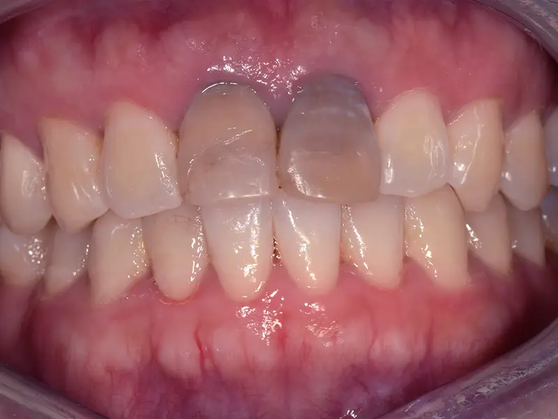
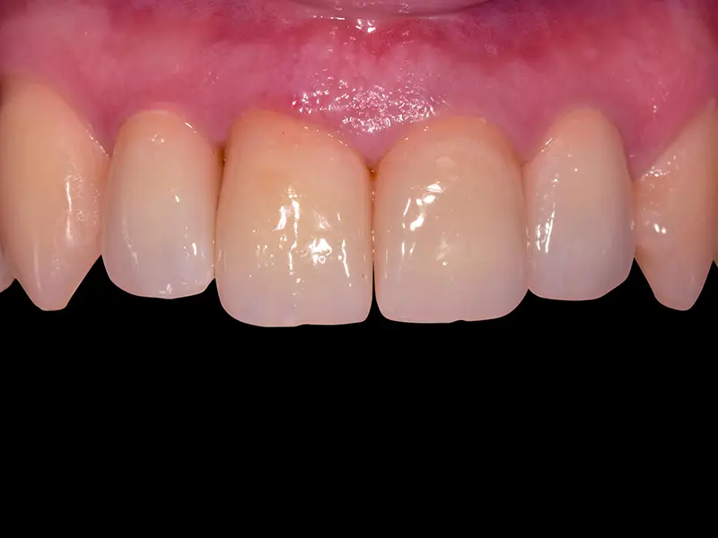
- Corone su denti naturali:coperture in ceramica o zirconia che ricostruiscono un dente compromesso, restituendogli forza e forma naturale
- Corone su impianti:sostituiscono il singolo dente mancante, fissandosi su impianto osteointegrato
- Ponti dentali:utilizzati per sostituire uno o più denti, ancorandosi ai denti vicini o agli impianti
- Faccette estetiche:sottili lamine in ceramica che si applicano sui denti anteriori per migliorarne forma, colore e simmetria
Le protesi fisse permettono di sorridere e masticare con naturalezza, offrendo una sensazione simile ai denti naturali.


Protesi mobile: soluzioni flessibili e rimovibili
Quando non è possibile ricorrere a una riabilitazione fissa, o per esigenze funzionali ed economiche, le protesi mobili rappresentano un’ottima alternativa.
Realizzate su misura, garantiscono buon comfort, estetica e funzionalità.
Tipologie disponibili:
- Dentiere totali:indicate nei casi di edentulia completa (assenza totale di denti)
- Overdenture:protesi rimovibili che si agganciano a impianti, migliorando stabilità e comfort rispetto alle dentiere tradizionali
- Scheletrati con ganci:protesi parziali in metallo con ancoraggi sui denti residui
- Scheletrati in flexite:protesi elastiche e più leggere, prive di ganci metallici visibili, ideali per chi cerca una soluzione estetica più discreta

Un approccio su misura, dalla diagnosi alla consegna
Ogni protesi viene progettata partendo da:
- Un’analisi approfondita dello stato dentale e gengivale
- Impronte digitali o tradizionali per la massima precisione
- Progettazione tecnica in collaborazione con laboratori odontotecnici specializzati
- Controlli periodici per garantire adattamento, estetica e funzionalità nel tempo
Il nostro obiettivo è offrire una protesi che non si percepisca come un corpo estraneo, ma come parte integrante del sorriso, pensata per restituire fiducia e benessere.

Perché scegliere lo Studio Dentistico Genzano per le tue protesi dentali a Prato
- Soluzioni fisse e mobili di ultima generazione
- Trattamenti su misura per ogni esigenza funzionale ed estetica
- Attenzione al comfort, alla precisione e al risultato finale
- Approccio empatico e professionale, senza compromessi sulla qualità