Odontoiatria conservativa a Prato: cura, estetica e prevenzione
Scopri di più

Conservare è meglio che sostituire: trattamenti per carie e denti danneggiati
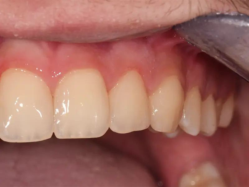
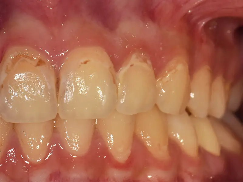
L’odontoiatria conservativa ha l’obiettivo di curare i denti colpiti da carie o lesioni senza ricorrere all’estrazione, ripristinando forma, funzione ed estetica. È un approccio moderno, poco invasivo e focalizzato sulla preservazione del tessuto dentale sano.
Presso lo Studio Dentistico Genzano a Prato, trattiamo le carie e le fratture con tecniche adesive avanzate, materiali estetici e attenzione al dettaglio.
Quando serve l’odontoiatria conservativa
- In presenza di carie di qualsiasi entità
- Per riparare scheggiature o fratture dentali
- Per sostituire vecchie otturazioni danneggiate
- In caso di erosioni o abrasioni da spazzolamento

Come avviene la ricostruzione del dente
Dopo la diagnosi e la rimozione del tessuto danneggiato, il dente viene ricostruito con materiali compositi estetici di ultima generazione. Utilizziamo la diga di gomma per isolare il campo operatorio e garantire una sigillatura ottimale.
Il trattamento è completamente indolore e, una volta completato, il dente recupera pienamente solidità, funzione masticatoria e integrità strutturale. Il restauro sarà inoltre del tutto invisibile!
Le ricostruzioni possono essere:
Dirette
- Rimuovere placca e tartaro sopra e sotto gengiva
- Eliminare le cause dell'infiammazione (batteri, tasche, fattori predisponenti)
- Educare il paziente a una corretta igiene orale domiciliare
Indirette
- Accedere in profondità a zone difficili da trattare
- Rimuovere tasche residue
- Rigenerare tessuti danneggiati
- Migliorare l’estetica gengivale
L’obiettivo è un restauro duraturo, invisibile e perfettamente integrato con il resto della dentatura.


L’esperienza del Dr. Luigi Genzano nella conservativa
Il Dr. Luigi Genzano ha approfondito l’odontoiatria conservativa con corsi dedicati alla restaurativa estetica. Ogni trattamento viene eseguito con attenzione clinica, precisione tecnica e rispetto per il dente naturale.
Perché scegliere lo Studio Dentistico Genzano per l’odontoiatria conservativa a Prato
- Tecniche adesive di ultima generazione
- Ricostruzioni estetiche e funzionali
- Utilizzo della diga di gomma per sicurezza e precisione
- Attenzione alla prevenzione e al mantenimento a lungo termine
- Approccio empatico e centrato sulla persona
