Impianti dentali a Prato: torna a sorridere con fiducia
Scopri di più

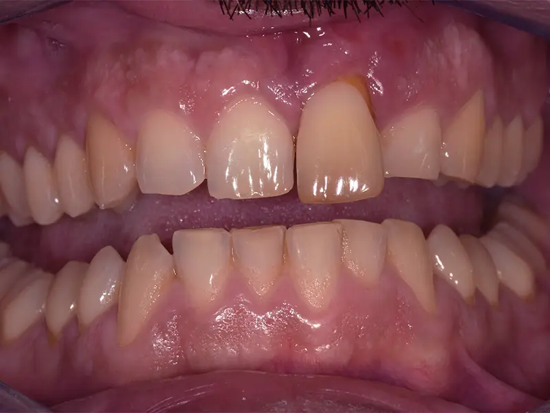
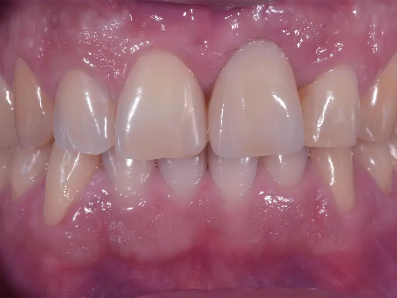
Una soluzione stabile e naturale per chi ha perso uno o più denti
Sappiamo quanto possa pesare la mancanza di uno o più denti, non solo dal punto di vista estetico, ma anche nella quotidianità: sorridere con spontaneità, masticare bene, parlare senza imbarazzi.
Nel nostro studio dentistico a Prato, offriamo soluzioni di implantologia avanzata pensate proprio per te, per ridarti la libertà di sorridere e mangiare senza preoccupazioni. Lo facciamo con calore, competenza e quella dose di umanità che mette anche i pazienti più timorosi a proprio agio.
Ti accompagniamo in ogni fase: dall’ascolto alla guarigione
Ogni nostro trattamento implantare inizia sempre con un momento di dialogo. Ci sediamo insieme, ascoltiamo le tue esigenze e rispondiamo a tutti i tuoi dubbi. Non è mai “solo un dente” per noi, è il tuo sorriso. Grazie a tecnologie digitali avanzate, come il software implantare dedicato, possiamo visualizzare in anticipo il risultato finale e offrirti una soluzione sicura, precisa e il meno invasiva possibile.

Impianti a carico immediato: il sorriso in un solo giorno
Quando l’osso non basta: rigenerazione e innesti personalizzati
L’esperienza del Dr. Genzano nell’ Implantologia Dentale
“Credo in una odontoiatria che unisce rigore clinico e relazione umana. Il paziente non è un numero, ma una persona che si affida a noi in un momento delicato della sua vita.”

Perché scegliere lo Studio Dentistico Genzano per l’implantologia a Prato
- Visita approfondita e diagnosi digitale
- Tecnologie di ultima generazione per pianificare l’intervento con precisione
- Possibilità di impianti a carico immediato, dove indicato
- Approccio umano e rassicurante, dall’accoglienza alla fase post-operatoria
- Trattamenti pensati per ridurre lo stress e favorire una guarigione serena
Le parole dei nostri pazienti
Il miglior modo per raccontare il nostro lavoro è lasciare che siano i pazienti a farlo. Ogni recensione è una storia di fiducia, ascolto e sorrisi ritrovati.