Odontoiatria estetica a Prato: il sorriso che ti rappresenta
Scopri di più
Quando i dolori alla mandibola non sono solo un fastidio
Dolori al volto, cefalee frequenti, tensioni cervicali, difficoltà ad aprire la bocca, rumori come “click” o scrosci articolari: spesso sono sintomi trascurati, ma possono indicare un disturbo dell’articolazione temporo-mandibolare (ATM).
Nel nostro Studio Dentistico a Prato ci occupiamo di gnatologia clinica, ovvero della diagnosi e del trattamento dei disturbi funzionali legati alla mandibola, ai muscoli masticatori e all’articolazione.
Il nostro approccio non si limita a “curare un dolore”, ma mira a individuare e risolvere le cause profonde, migliorando la qualità della vita dei pazienti in modo duraturo.
Odontoiatria estetica: armonia, salute e naturalezza
L’odontoiatria estetica migliora l’aspetto del sorriso rispettando l’equilibrio del volto, la funzionalità della bocca e la salute dei denti. Non si tratta solo di avere denti più bianchi: si lavora sulla forma, il colore, l’allineamento e la proporzione per restituirti un sorriso autentico, armonioso e adatto a te.
Presso lo Studio Dentistico Genzano a Prato, offriamo trattamenti estetici personalizzati, progettati insieme al paziente, per risultati naturali e duraturi.
Trattamenti di estetica dentale disponibili
- Faccette dentali in ceramica


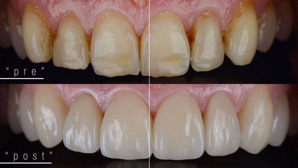
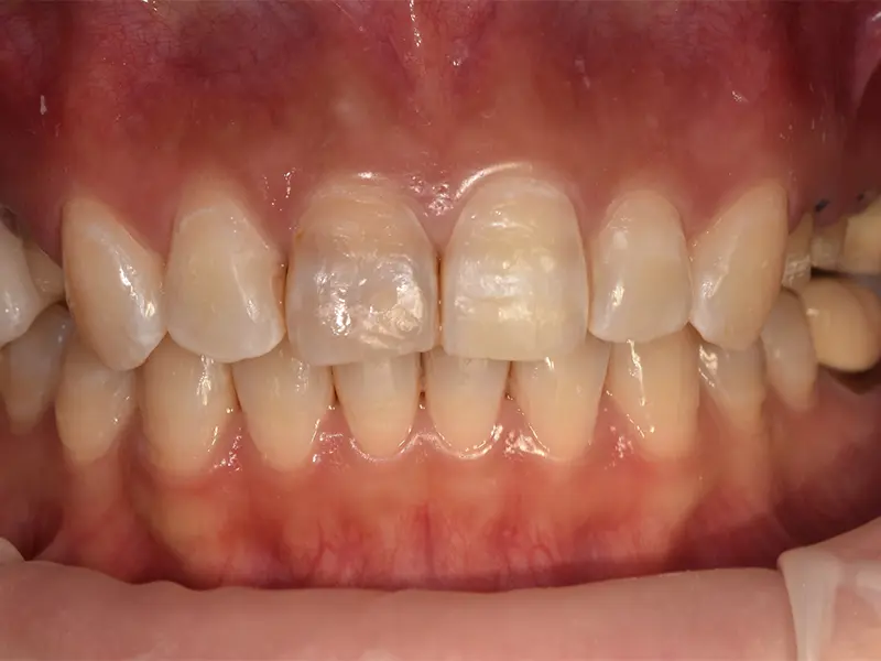
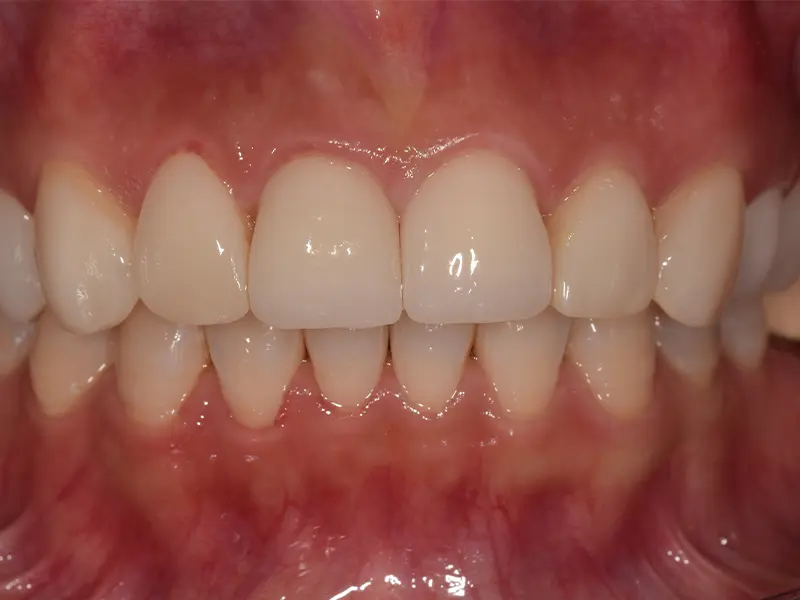
Faccette dentali: bellezza naturale, minimo intervento
Le faccette dentali sono sottili lamine in ceramica applicate sulla superficie visibile dei denti. Permettono di correggere difetti di forma, colore, disallineamenti lievi o spaziature, con un risultato estetico eccellente e senza compromettere la struttura naturale del dente. Nel nostro studio dentistico a Prato utilizziamo ceramiche integrali e disilicato di litio: materiali estetici, resistenti, biocompatibili e duraturi.
Ogni trattamento con faccette parte da una fase di analisi e progettazione condivisa.
In modo che ogni paziente possa vedere, comprendere e approvare il suo nuovo sorriso prima ancora che venga realizzato.
Ecco come lavoriamo:
Raccolta dati personalizzata
Raccogliamo fotografie, impronte e tutti i parametri necessari per progettare il caso.
Ceratura diagnostica (wax-up)
Realizziamo una ceratura digitale o analogica per definire volumi e forme ideali.
In alcuni casi, quando i volumi da ridurre sono significativi, mostriamo direttamente la ceratura senza procedere subito al mock-up.
Mock-up in bocca
Applichiamo una prova estetica direttamente sui denti, per visualizzare il risultato finale prima di iniziare la preparazione.
Preparazione minimamente invasiva
Se necessario, prepariamo il dente in modo conservativo, rispettando la struttura naturale. Usiamo tecniche come buccal veneer, occlusal veneer o table top, a seconda delle esigenze del caso.
Cementazione definitiva
Una volta approvato il risultato, procediamo con la cementazione delle faccette personalizzate, realizzate in ceramica integrale.


L’esperienza del Dr. Luigi Genzano nei trattamenti estetici
Il Dr. Luigi Genzano si dedica all’odontoiatria estetica aggiornando costantemente protocolli, tecnologie e materiali. Il suo approccio all’estetica dentale comprende tecniche adesive, restauri minimamente invasivi, protesi altamente estetiche. Ogni caso viene affrontato con attenzione clinica, ascolto attivo e sensibilità estetica.
Perché scegliere lo Studio Dentistico Genzano per l’estetica dentale a Prato
- Progettazione digitale e mock-up per una visione anticipata
- Materiali estetici e tecniche conservative
- Riabilitazioni complete anche in casi complessi
- Risultati naturali e personalizzati
- Approccio empatico, professionale e centrato sulla persona

Casi clinici

